Hallux Rigidus

L’hallux rigidus est une arthrose de l’articulation métatarso-phalangienne du gros orteil. Cette arthrose est en général centrée, à la différence de l’arthrose secondaire à un hallux valgus évolué.

TABLE DES MATIÈRES

Origine

Elle est multi-factotielle, favorisée par les microtraumatismes (danse classique avec pointes, foot…), un chaussage étroit ou à talon… Le plus souvent, on ne retrouve par d’étiologie évidente.

Ou alors l’arthrose est secondaire à un hallux valgus évolué et non opéré.

On peut également retrouver une arthrosedans les suites d’un hallux valgus opéré il y a de très nombreuses années.

La clinique

Le patient présente des douleurs qui sont mécaniques (à la marche), avec une raideur en flexion dorsale de l’articulation métatarso-phalangienne (AMP) qui entraine un trouble de la marche.

L'examen

Il retrouve une douleur à la mobilisation de l’AMP, avec perception de tuméfactions osseuses en regard de la tête du 1er  métatarsien (les ostéophytes)

Il existe également une raideur avec diminution surtout de la flexion dorsale.

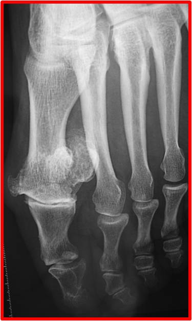
La radiologie

Elle confirme l’arthrose. 

Le traitement

Il peut être médical dans un premier temps (antalgique, anti-inflammatoire, orthèse, infiltration…)

En cas de non amélioration ou de symptomatologie trop bruyante, la chirurgie sera proposée :

  • L’arthrodèse de l’AMP est la technique de choix. Il s’agit de bloquer l’articulation pour éviter toute douleur. On réalise une arthodèse par plaque vissée. Cette arthrodèse est fixée dans une position qui permet de reprendre la marche et ses activités sans aucun problèmes.
  • Une autre solution consiste en une ostéotomie de décompression de la 1ère phalange ( ou du 1er métatarsien) Le but est de diminuer les contraintes et de ralentir l’arthrose. Elle n’est possible que dans les formes toute débutantes.

L'intervention

Elle a lieu sous anesthésie locale (bloc poplité). 

Les suites

Chaussure de décharge pour 45 jours.

Anticoagulants 15 jours.

Sortie de clinique à J+0 (chirurgie ambulatoire)

Chirurgie non douloureuse.

Premier pansement refait à J+ 3 semaines; la rééducation peut alors débuter.

Arrêt de travail entre 45 jours et 3 mois en fonction du métier.

Marche « normale » à 3 mois.