Traumatologie

Le Médipôle de Savoie est au pied du plus grand domaine skiable du monde, et nous avons à la clinique une importante activité de traumatologie, et notament de TRAUMATOLOGIE DU SKI.

Galerie radiologique de traumatologie

Fractures du col du fémur

Fracture cervicale

Fracture per-trochantérienne

Fractures des plateaux tibiaux

Fractures des épines tibiales

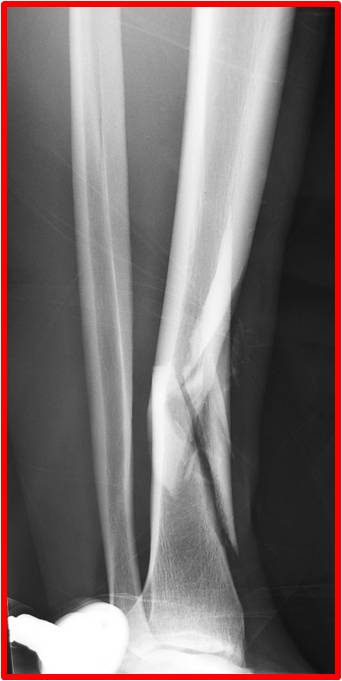
Fractures de la jambe

Fractures de la cheville

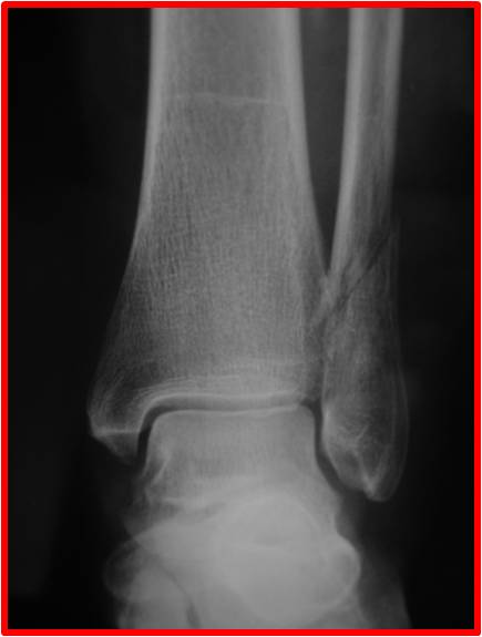
Fracture malléole externe

Fracture bi-malléolaire

Fracture tri-malléolaire

Fractures du calcaneum